Cabinet des Docteurs Salvatore ARENA & Nicolas ARENA
Orthodontie - Implantologie - Parodontie - Esthétique

15A Grande Rue
25400 AUDINCOURT

Cabinet des Docteurs Salvatore ARENA & Nicolas ARENA
Orthodontie - Implantologie - Parodontie - Esthétique

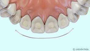
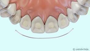
Fil de contention


video-play-icon

Articles similaires

Création par Webdentiste

Connexion